小児矯正の症例
小児矯正
症例1
| 治療前 | 治療後 |
|---|---|
![]() |
![]() |
| 主訴 | 歯並びが気になる |
|---|---|
| 治療内容 | 取り外し式の拡大装置(写真参照) |
| 治療期間 | 7歳3ヶ月〜11歳(現在も経過観察中) |
| 治療費 | 小児矯正350,000円+税 調整料3,000円(診療毎) |
| 治療に 伴うリスク |
歯を移動している間、痛みが出ることがある、歯茎が下がることがある。 |
| 使用した器具 |
|---|
![]() |
![]() |
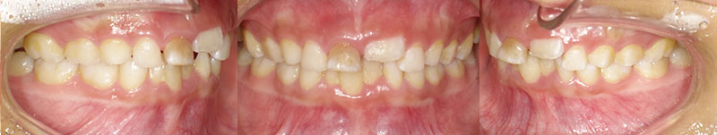
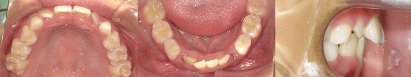
| 初診時口腔内写真 |
|---|
![]() |
![]() |
| 顔貌写真 |
![]() |
| 初診時パノラマエックス写真 |
|---|
![]() |
| 初診時エックス写真 |
![]() |
| 7ヶ月経過 |
|---|
![]() |
![]() |
| 1年1ヶ月経過 |
|---|
![]() |
![]() |
| 1年8ヶ月経過 |
|---|
![]() |
![]() |
| 2年2ヶ月経過 |
|---|
![]() |
![]() |
| 3年7ヶ月経過 |
|---|
![]() |
![]() |




















