1. 矯正相談
まずはご希望に沿う治療が可能かどうか確認しましょう! ご予約頂きました来院日にお口のなかをチェックします。 その際に、使用装置・治療期間・費用などの詳細な説明をさせて頂きます。
前歯のピンポイント矯正は気になる箇所だけきれいに並べる矯正治療です。患者様の状態をしっかりと把握をし、じっくりカウンセリングをさせて頂きますので、どうぞ安心してご相談ください。
矯正専門だからこそ出来るノウハウにより、表側のワイヤー装置だけでなく、裏側装置・マウスピース装置も選択が可能です
通常の全体矯正とは違い、ピンポイントで歯を動かしますので、最低限の期間で終了します。
今ある歯を抜くことなく矯正できるので、かみ合わせも変わらず矯正前後で違和感なく生活いただけます。
※患者様の歯列の状態によっては前歯を1本抜歯を推奨することもあります。
各装置によって費用は異なりますが、最低15万円から可能です。通院ごとに支払う、手数料なし分割プランもご活用下さい。
無事に治療が終わっても元に戻りやすいのがよくある悩みです。当院では、細いワイヤーでしっかり固定をしますので悩みが出ることはありません。
治療の内容にもよりますが、来院する頻度を変えることも可能です。通常は1か月に一度ですが、2~4週内の頻度に変更することも可能です。スピードをアップしたい方にはおすすめです。
まずはご希望に沿う治療が可能かどうか確認しましょう! ご予約頂きました来院日にお口のなかをチェックします。 その際に、使用装置・治療期間・費用などの詳細な説明をさせて頂きます。
ご相談の時点で、矯正治療を開始する決定をする必要はありません。前向きにご検討頂きましたら、矯正専門の検査に進みましょう! 専門の治療には、必ず専門の検査が必要となります。
専門の検査が終了しましたら、次に診断という治療方針を決定する回となります。この時点で、治療内容・使用装置・治療期間が最終決定となります。ご納得いただきましたら治療準備開始です。
いよいよ装置装着です。早ければ、矯正検査から1か月後には装着も可能です。
| 治療前 | 治療後 |
|---|---|
![]() ![]() |
![]() ![]() |
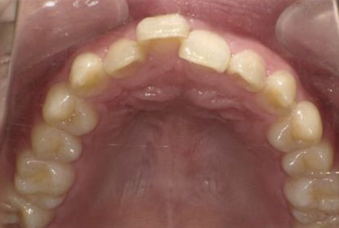
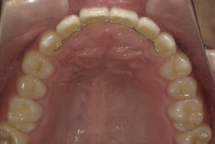
| 年齢/性別 | 19歳/女性 |
|---|---|
| 治療内容 | 上の前歯の隙間が気になるとのことで来院しました。隙間のみの改善希望でしたので前歯だけの部分矯正で対応しました。表側のホワイトを選択されました。 |
| 治療期間 | 装置装着期間は、5か月です。その後安定させるための保定装置を1年ほど使用して頂きました。 |
| 治療上でのリスク | 歯の移動により歯根が吸収され短くなる可能性があります。歯の動き具合には個人差があります。衛生面が不良となりコンディションを損ねる可能性があります。 |
| 治療費 (全て税抜き) |
検査・診断 ¥25,000 |
| 装置代 ¥150,000 | |
| 毎月1度の調節料 ¥6,500 | |
| 保定観察料 ¥5,000 |
| 治療前 | 治療後 |
|---|---|
![]() ![]() |
![]() ![]() |
| 矯正装置装着時 | |
|---|---|
![]() |
![]() |
| 年齢/性別 | 30歳/男性 |
|---|---|
| 治療内容 | 上の前歯のでこぼこが気になるとのことで来院しました。部分的なご希望のみでしたので、通常の表側装置を使用して治療を行いました。 |
| 治療期間 | 装置装着期間は、5か月です。その後安定させるための保定装置を1年ほど使用して頂きました。 |
| 治療上でのリスク | 歯の移動により歯根が吸収され短くなる可能性があります。歯の動き具合には個人差があります。衛生面が不良となりコンディションを損ねる可能性があります。 |
| 治療費 (全て税抜き) |
検査・診断 ¥25,000 |
| 装置代 ¥150,000 | |
| 毎月1度の調節料 ¥5,000 | |
| 保定観察料 ¥5,000 |
| 治療前 | 治療後 |
|---|---|
![]() ![]() ![]() |
![]() ![]() ![]() |
| 矯正装置装着時 | |
|---|---|
![]() |
![]() |
| 年齢/性別 | 24歳/男性 |
|---|---|
| 治療内容 | 上の前歯が出っ張りによって隙間が出来ているため、両方を改善したいと来院されました。上の歯のみに全体に装置を付けて治療をすることになりました。 |
| 治療期間 | 装置装着期間は、10か月です。その後安定させるための保定装置を1年半ほど使用して頂きました。 |
| 治療上でのリスク | 歯の移動により歯根が吸収され短くなる可能性があります。歯の動き具合には個人差があります。衛生面が不良となりコンディションを損ねる可能性があります。 |
| 治療費 (全て税抜き) |
検査・診断 ¥25,000 |
| 装置代 ¥300,000 | |
| 毎月1度の調節料 ¥6,500 | |
| 保定観察料 ¥5,000 |
| 治療前 | 治療後 |
|---|---|
![]() ![]() ![]() |
![]() ![]() ![]() |
| 年齢/性別 | 29歳/女性 |
|---|---|
| 治療内容 | 下の前歯がでこぼこになっているのを気にして来院されました。下の前歯のみに裏側装置を付けて治療をすることになりました。 |
| 治療期間 | 装置装着期間は、4か月です。その後安定させるための保定装置を1年半ほど使用して頂きました。 |
| 治療上でのリスク | 歯の移動により歯根が吸収され短くなる可能性があります。歯の動き具合には個人差があります。衛生面が不良となりコンディションを損ねる可能性があります。 |
| 治療費 (全て税抜き) |
検査・診断 ¥25,000 |
| 装置代 ¥300,000 | |
| 毎月1度の調節料 ¥8,500 | |
| 保定観察料 ¥5,000 |